Aorta Elongation And Calcification Explained

A.Myexpertmidwife 23 views
Aorta Elongation And Calcification Explained

Aorta Elongation and Calcification Explained

Hey guys, let's dive deep into the fascinating world of our aorta, specifically focusing on two common conditions: aorta elongation and aorta calcification . These terms might sound a bit intimidating, but understanding them is crucial for maintaining our cardiovascular health. Think of your aorta as the main highway of your circulatory system, the largest artery that carries oxygen-rich blood from your heart to the rest of your body. When this highway starts to change, it can impact the entire system. We're going to break down what these conditions mean, why they happen, and what you can do about them. So grab a comfy seat, and let's get started on unraveling the complexities of aorta elongation and calcification.

Table of Contents

    What is Aorta Elongation?

    Alright, so what exactly is aorta elongation ? In simple terms, it's when your aorta, that massive artery leaving your heart, starts to lengthen and become more curved. Imagine a brand-new rubber hose – it's straight and firm. Now, imagine that hose getting older, maybe a bit stretched out, and starting to droop or bend a bit more than it used to. That's kind of what happens to the aorta as it elongates. This process often happens as we age. Our bodies change, and our aorta is no exception. The elastic fibers in the aorta's walls, which help it expand and contract with each heartbeat, can degrade over time. This loss of elasticity means the aorta can't bounce back as effectively, and the pressure from blood flow can actually stretch it out, leading to elongation. It's a natural part of aging for many people, but it can also be exacerbated by certain factors like high blood pressure (hypertension), which constantly puts extra stress on the arterial walls. When the aorta elongates, it can lead to changes in blood flow dynamics and might contribute to other cardiovascular issues down the line. It's not always a cause for alarm on its own, but it's a sign that your cardiovascular system is undergoing changes that warrant attention. Doctors often detect aorta elongation during imaging tests, like an echocardiogram or a CT scan, where they can visualize the size and shape of the aorta. The key takeaway here is that it's a structural change, often linked to the aging process and certain risk factors, and it signifies a loss of the aorta's youthful flexibility.

    What is Aorta Calcification?

    Now, let's talk about aorta calcification . This condition refers to the buildup of calcium deposits within the walls of the aorta. Think of it like plaque buildup in pipes, but instead of gunk and debris, it's calcium. This calcium accumulation can make the aortic walls stiffer and less flexible, which is a big deal for an artery that needs to be dynamic. So, how does this calcium get there? Well, it's often linked to atherosclerosis, which is the hardening and narrowing of arteries due to plaque buildup. This plaque isn't just cholesterol; it can include calcium, inflammatory cells, and other substances. As atherosclerosis progresses, calcium tends to deposit in these plaques, further solidifying and stiffening the arterial wall. Factors that contribute to atherosclerosis, such as high cholesterol, smoking, diabetes, high blood pressure, and a sedentary lifestyle, also play a significant role in aorta calcification. It's a bit of a vicious cycle: the stiffer the aorta becomes due to calcification, the harder your heart has to work to pump blood through it, which can, in turn, increase blood pressure and further damage the artery. This stiffness can also make the aorta more susceptible to damage from the pulsating force of blood flow. Imagine trying to bend a stiff, old pipe versus a new, flexible one – the old one is much more likely to crack or break. In the context of the aorta, this means an increased risk of serious complications. Aorta calcification is a serious indicator of cardiovascular disease and is often seen in older adults, but it can occur earlier in individuals with significant risk factors. It's a visible marker of wear and tear on your body's most important artery.

    The Link Between Elongation and Calcification

    Okay, so we've discussed aorta elongation and aorta calcification separately, but it's super important to understand that these two conditions often go hand-in-hand, guys. They are not usually isolated events; they tend to be interconnected aspects of the same underlying process of arterial aging and disease. Think about it: the aorta's ability to stretch and recoil is primarily due to its elastic fibers. When these fibers start to break down with age or due to disease, the aorta loses its flexibility. This loss of elasticity is what leads to elongation. Now, where does calcification fit in? Atherosclerosis, the process that leads to calcification, also damages the structural integrity of the aortic wall. The inflammatory processes and plaque buildup associated with atherosclerosis weaken the elastic components and promote calcium deposition. So, as the aorta elongates due to a loss of elasticity, it also becomes a more favorable environment for calcium to deposit. The stiffened, calcified segments of the aorta can contribute to abnormal stretching and kinking in other, less affected areas, leading to further elongation. Conversely, the mechanical stress and altered blood flow patterns caused by an elongated aorta can potentially accelerate the atherosclerotic process and subsequent calcification. It's a bit of a feedback loop, where each condition can exacerbate the other. This combination makes the aorta more vulnerable. The stiffening from calcification means it can't handle the stretching forces as well, and the stretching from elongation can further damage the already compromised wall. This intertwined nature highlights why addressing risk factors for both is so crucial for overall heart health. When doctors see one, they are often looking for signs of the other, as they are both markers of significant cardiovascular changes.

    Why Do These Conditions Occur? Risk Factors Unpacked

    Let's get real about the 'why' behind aorta elongation and aorta calcification . While aging is a major player – our bodies simply wear and tear over time, and our blood vessels are no exception – there are several other significant risk factors that can accelerate or worsen these conditions. First up, and a biggie, is **high blood pressure (hypertension)**. Constantly high pressure forces the aorta to work harder, stretching its walls and promoting damage that can lead to both elongation and calcification. It's like leaving a faucet running at full blast all the time; eventually, the pipes will show signs of strain. **High cholesterol levels**, particularly high LDL ('bad') cholesterol, are a primary driver of atherosclerosis, which directly contributes to calcification. These fatty deposits can harden and calcify over time. Then there's **diabetes**. High blood sugar levels can damage blood vessel walls over time, making them less flexible and more prone to calcification and other degenerative changes. **Smoking** is another huge culprit. The chemicals in cigarette smoke damage the lining of blood vessels, promote inflammation, and accelerate the atherosclerotic process, leading to stiffer, more calcified arteries. A **sedentary lifestyle** and **obesity** go hand-in-hand with increased risk. Lack of physical activity contributes to poor cardiovascular health, while excess weight often brings along other issues like high blood pressure, high cholesterol, and diabetes. **Genetics** also play a role; if heart disease or vascular conditions run in your family, you might be predisposed. Finally, **age** itself is an unavoidable risk factor. As we get older, our blood vessels naturally lose some elasticity and are exposed to more years of potential damage from lifestyle factors. Understanding these risk factors is key because many of them are modifiable. By taking control of factors like diet, exercise, smoking, and managing conditions like hypertension and diabetes, you can significantly reduce your risk or slow the progression of aorta elongation and calcification.

    Symptoms: What to Look Out For (or Not!)

    This is where things can get a bit tricky, guys. Often, aorta elongation and aorta calcification themselves don't cause very specific or noticeable symptoms, especially in their early stages. They are frequently discovered incidentally during imaging tests done for other reasons. However, as these conditions progress and lead to more significant issues, or if they are part of a broader cardiovascular disease process, symptoms might emerge. One of the main ways these conditions manifest is by affecting blood flow or making the aorta more prone to complications. For instance, if the aorta becomes significantly stiffened and elongated, it might affect how blood is pumped to various organs. Some people might experience **chest pain** or **shortness of breath**, especially during exertion, as the heart struggles to pump blood effectively through the compromised aorta. Others might experience **pain in the back or abdomen**, particularly if the aorta is significantly dilated (aneurysm) or if calcification is affecting blood supply to those areas. In more severe cases, if the aorta becomes severely weakened, it can lead to an **aortic aneurysm**, which is a bulge in the artery wall. An aneurysm itself might not have symptoms until it becomes very large or, worse, **ruptures**. A rupture is a life-threatening emergency and can cause sudden, severe pain in the chest, back, or abdomen, followed by shock and a rapid drop in blood pressure. Another potential complication is an **aortic dissection**, where a tear occurs in the inner layer of the aorta's wall, allowing blood to surge through the tear and separate the layers. This is also an emergency, typically causing sudden, severe, tearing chest or back pain. Because symptoms are often absent or vague until a major event occurs, regular check-ups and screening, especially if you have risk factors, are incredibly important. Don't wait for symptoms; proactive health management is key when dealing with potential vascular issues like aorta elongation and calcification.

    Diagnosis: How Doctors Find Out

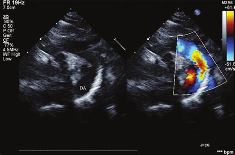
    So, how do doctors actually diagnose aorta elongation and aorta calcification ? Since, as we've discussed, these conditions often don't scream for attention with obvious symptoms, diagnostic tools play a vital role. The most common way these are identified is through various **imaging techniques**. An **echocardiogram**, often called an ultrasound of the heart, can provide detailed images of the aorta as it leaves the heart. It can show its size, shape, and how well it's functioning, helping to identify elongation and sometimes signs of thickening or calcification. **Computed Tomography (CT) scans** are also very effective. A CT scan uses X-rays to create cross-sectional images of the body, providing a much more detailed view of the entire aorta. It's excellent at visualizing calcification within the aortic walls and precisely measuring any elongation or dilation. **Magnetic Resonance Imaging (MRI)** is another powerful tool. Similar to CT scans, MRIs use magnetic fields to create detailed images. They can assess the aorta's structure, measure its dimensions, and evaluate blood flow, often without the use of ionizing radiation. For assessing calcification specifically, **coronary artery calcium scoring**, often done with a low-dose CT scan, can quantify the amount of calcium in the coronary arteries, and the scan can also pick up significant calcification in the aorta. Sometimes, calcification might be noted incidentally on a routine chest X-ray, prompting further investigation. Doctors will also consider your **medical history** and **risk factors**. If you have high blood pressure, high cholesterol, diabetes, a history of smoking, or a family history of heart disease, your doctor will be more vigilant in looking for signs of vascular changes. A thorough **physical examination**, including listening to your heart and blood vessels with a stethoscope, might reveal abnormal sounds that could suggest issues with blood flow. Ultimately, diagnosis is usually a combination of imaging findings, patient history, and physical assessment, aiming to get a comprehensive picture of your cardiovascular health.

    Managing and Preventing These Conditions

    Alright folks, the good news is that while we can't turn back the clock on aging, we can absolutely take steps to manage and prevent the progression of aorta elongation and aorta calcification , especially by tackling those modifiable risk factors we talked about earlier. The cornerstone of management and prevention is a **healthy lifestyle**. This means embracing a heart-healthy diet – think plenty of fruits, vegetables, whole grains, lean proteins, and healthy fats, while limiting saturated and trans fats, sodium, and added sugars. **Regular physical activity** is crucial. Aim for at least 150 minutes of moderate-intensity aerobic exercise or 75 minutes of vigorous-intensity exercise per week, plus muscle-strengthening activities. If you smoke, **quitting smoking** is one of the single best things you can do for your cardiovascular health. Seek help and support if needed; it's tough but absolutely worth it. **Maintaining a healthy weight** is also vital, as it helps manage blood pressure, cholesterol, and blood sugar. **Managing chronic conditions** is non-negotiable. If you have high blood pressure, diabetes, or high cholesterol, work closely with your doctor to keep these conditions under control through medication, lifestyle changes, or both. Regular medical check-ups are essential for monitoring your cardiovascular health, even if you feel fine. Your doctor might recommend specific **medications** to help manage risk factors like blood pressure or cholesterol, which can indirectly benefit the health of your aorta. In some cases, if elongation has led to significant aortic dilation or an aneurysm, surgical or endovascular interventions might be considered to repair or reinforce the affected part of the aorta, but this is typically for more advanced situations. The key message here is **proactive prevention**. By focusing on a healthy lifestyle and diligent management of risk factors, you can significantly reduce your chances of developing or worsening aorta elongation and calcification, keeping that vital highway of your circulatory system as healthy as possible for as long as possible.

    When to See a Doctor

    So, when should you actually pick up the phone and make that doctor's appointment, guys? Given that aorta elongation and aorta calcification often fly under the radar symptom-wise, it's crucial to be proactive. The most important time to see a doctor is for **regular check-ups and screenings**. If you are over a certain age (your doctor will advise on the specific age based on guidelines and your risk factors) or have significant risk factors like a history of smoking, high blood pressure, high cholesterol, diabetes, or a family history of aortic aneurysms or dissections, you should definitely be discussing your vascular health with your doctor. They might recommend periodic screenings to check the health of your aorta. Now, if you experience any **new or worsening symptoms** that could be related to cardiovascular issues, don't hesitate to seek medical attention. This includes **chest pain**, **shortness of breath**, **unexplained fatigue**, **pain in your back or abdomen**, or **dizziness**. Even though these symptoms can be caused by many things, it's always best to get them checked out by a professional, especially if they occur suddenly or are severe. Pay close attention to any **sudden, severe pain**, particularly in the chest or back, as this could be a sign of a medical emergency like an aortic dissection or rupture. In such cases, call emergency services immediately. Remember, early detection and management are key to preventing serious complications. So, even if you feel generally okay, being aware of your risk factors and attending your scheduled appointments can make a huge difference in maintaining your long-term cardiovascular health.

    Conclusion: Taking Care of Your Aorta

    To wrap things up, guys, understanding aorta elongation and aorta calcification is all about recognizing that our aorta, the body's main artery, undergoes changes as we age and can be affected by various lifestyle factors and diseases. These conditions, often linked, signify a loss of elasticity and the buildup of calcium in the aortic walls. While they might not always present with clear symptoms, they are important indicators of cardiovascular health and can increase the risk of more serious problems if left unmanaged. The good news, as we've stressed, is that prevention and management are largely within our control. By adopting a heart-healthy lifestyle – eating well, exercising regularly, avoiding smoking, maintaining a healthy weight, and diligently managing conditions like high blood pressure, diabetes, and high cholesterol – we can significantly impact the health of our aorta. Regular medical check-ups are your best ally in this journey, allowing for early detection and intervention. Taking proactive steps to care for your aorta means taking care of your overall cardiovascular well-being. It’s about ensuring that vital highway of blood flow remains as smooth and functional as possible, supporting a longer, healthier life for all of us. Stay informed, stay healthy, and keep that heart pumping strong!