Tibia Fracture: Understanding The LK Classification

A.Myexpertmidwife 111 views
Tibia Fracture: Understanding The LK Classification

Tibia Fracture: Understanding the LK Classification

Hey guys! Ever heard of a tibia fracture? It’s basically a broken shinbone, and it’s something that doctors deal with pretty often. Now, when doctors talk about these breaks, they don’t just say, “Yep, it’s broken!” They actually use a system to classify them. This helps them understand the severity of the break and how best to treat it. One of the ways they do this is with the LK classification. So, let’s dive in and break down what the LK classification for tibia fractures is all about. This way, you’ll be able to understand the different types of breaks and how doctors approach treating them. So, let’s dive in!

What is the Tibia and Why Does it Fracture?

Alright, first things first: the tibia. That’s the big bone in your lower leg – the shinbone. It runs from your knee down to your ankle and is super important for supporting your weight and helping you walk, run, and jump. Because it’s right there on the front of your leg, it’s pretty exposed and vulnerable to injury. This means, if you take a tumble, get hit in the leg during a sport, or are in a car accident, the tibia is at risk of fracturing, or breaking. Tibia fractures are common, and they can range from a tiny hairline crack to a completely shattered bone. The type of fracture depends on the force of the injury, and, of course, the LK classification helps describe the different types of injuries.

The Basics of the LK Classification System

The LK classification system is all about categorizing tibia fractures. LK stands for a combination of the surgeons’ names who first described the classification method. It’s a method for classifying tibial fractures, often used by orthopedic surgeons. This system helps doctors describe the fracture and how it’s shaped. This, in turn, helps the doctor decide the best way to fix the broken bone. It’s really all about having a common language so doctors can communicate clearly and accurately. The classification often considers the location of the break, the pattern of the break, and if the bone has been displaced or not. The location helps the doctors understand which part of the bone is broken. The pattern tells them what the break looks like (e.g., a straight line, a spiral, or shattered). And displacement tells the surgeons if the bone has shifted out of place, which will impact how the surgeon decides to treat the fracture. Knowing the LK classification helps determine how stable the break is, which directly influences treatment options such as casting or surgery. Without a good classification system, it would be much harder for doctors to treat tibia fractures effectively. It keeps them all on the same page. This classification system helps ensure that everyone understands the nature of the break and is on the same page for treatment.

Key Components of the LK Classification

So, what are the different components that make up the LK classification? Let’s take a closer look:

  • Location: The LK classification categorizes the fracture based on where it occurs along the tibia. This is very important because the different parts of the tibia have different shapes and thicknesses, which will influence how the bone breaks and how it’s treated. The tibia is typically divided into three main areas: the proximal (near the knee), the midshaft (the main part of the bone), and the distal (near the ankle). The location of the break impacts the stability and difficulty of treatment. Fractures closer to the joints (proximal and distal) might involve the joint surface, making them more complex. Midshaft fractures are often more straightforward.
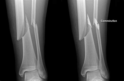
  • Fracture Pattern: This refers to the shape or type of the break. There are several fracture patterns, including transverse (a straight, horizontal break), oblique (a break that runs diagonally), spiral (a break that twists around the bone, often caused by a twisting force), and comminuted (where the bone is broken into multiple pieces). Comminuted fractures are generally more complex to treat. Knowing the fracture pattern helps the surgeon understand the mechanism of injury (how the break happened) and helps them make a good treatment plan.
  • Displacement: Displacement refers to whether the broken ends of the bone have moved out of their normal alignment. If the bones are still lined up (non-displaced), it’s generally a less complicated injury. However, if the bones are out of alignment (displaced), it usually requires more intervention, such as surgery, to put them back in the correct position. The amount of displacement can vary, from a slight shift to a significant gap between the bone fragments.

How the LK Classification Guides Treatment

So, how does all this information actually help doctors treat a tibia fracture? The LK classification system gives the doctors critical information on how to best treat the patient. It helps them choose the most appropriate treatment plan. For example, a non-displaced fracture in the midshaft might be able to be treated with a cast, while a displaced fracture or one that involves a joint might need surgery. The classification informs the surgeon about the degree of instability, and how to stabilize the fracture. The classification helps the surgeons decide the best way to fix the broken bone. The LK classification helps doctors choose between different treatment options, such as casting, bracing, or surgery. The surgeon has to consider factors, like the patient’s age, health, and activity level, when making a decision. More severe fractures, like those that are displaced or comminuted, typically require surgery to stabilize the bone and promote proper healing. This might involve using plates, screws, rods, or other hardware to hold the bone fragments together. The LK classification, therefore, plays a huge role in the treatment process, helping to ensure the best possible outcome for the patient.

Long-Term Outlook and Rehabilitation

Once the broken bone has been set (either with a cast or through surgery), the next phase is all about healing and rehabilitation. This is super important! It is going to take time for a tibia fracture to fully heal. It can take several weeks or months, depending on the severity of the fracture, the treatment method, and your overall health. During the healing process, you’ll likely need to wear a cast or brace to protect the bone and prevent it from moving. Regular follow-up appointments with your doctor will be needed to monitor your progress. Physical therapy plays a huge role in the recovery process. Physical therapy exercises will help restore strength, mobility, and range of motion. The physical therapist will guide you through exercises to strengthen the muscles around your leg, improve your balance, and help you regain your ability to walk and do your normal activities. The exact rehab plan depends on the type of fracture and how it was treated. Following your doctor and physical therapist’s instructions is crucial for a full recovery. Patience and consistency are also key. It takes time to heal, but with proper care and rehab, most people can get back to their normal activities after a tibia fracture.

Conclusion: The Importance of Understanding Tibia Fractures

So, there you have it! The LK classification system helps doctors to be able to effectively communicate and treat the patient. Tibia fractures can be scary, but with the right diagnosis and treatment, most people can make a full recovery. Understanding the LK classification gives you a better grasp of the injury, why it’s treated the way it is, and what to expect during your recovery. It also highlights the importance of working closely with medical professionals to get the best possible outcome. Always remember to follow the advice of your doctor and physical therapist. By understanding how the LK classification system works, you’re better equipped to understand the treatment process. This will help you be able to make informed decisions about your health. If you ever find yourself dealing with a tibia fracture, knowing about the LK classification can really help you navigate the process with a bit more confidence. Take care of those legs, and stay safe, guys!